
本日は不運にも虫歯が大きく、神経をとった後の治療例を紹介させていただきます患者様は10代の方でしたが、レントゲンのように右上の奥から2番目の大臼歯に非常に大きな虫歯が存在していました 当院では、オーバーレイなどの精密な治療を行う際にはラバーダムという唾液からの細菌汚染を回避する器具を使用して神経の治療を行います 今回の患者様につきましては、残念ながら虫歯によ …

本日は、上顎の骨が少ない方にインプラント治療を行った治療を紹介させていただきます こちらの患者様は、上顎の大臼歯に欠損がありインプラント治療を希望されていらっしゃいましたしかしながら一般的な長さのインプラントを埋め込むには上顎の骨の高さが不足しており、インプラントの先端1/3が上顎洞(鼻の横の空洞)に突き出してしまうという診断となりました このような現存する …

本日は、歯並びがガタついている8歳の患者様の治療経過を報告させていただきます 写真のように、特に下顎の前歯にガタつきが生じていましたこれから下顎の成長がありますが現状のガタつきは中程度以上と判断し、自然な成長では改善しない可能性が高いことを説明させていただいたところ、患者様は矯正治療(1期治療)を行い改善していかれることを希望されました 現状の評価と致しまし …

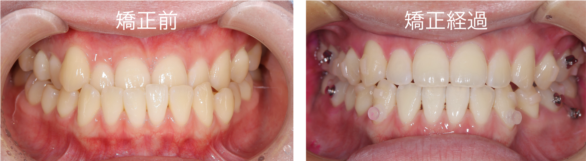
本日はワイヤー矯正を用いた、全体的な治療を行っている患者様についてです 患者様は50代の男性です、全体的な治療を希望されてご来院されました 前歯の咬み合わせが反対になっている、抜歯しなければならない歯があるなど多くの問題点がございました。 このまま進むとさらなる歯の欠損が予想され、美味しく食事もできなくなる可能性もご説明させていただきました。患者様はこの機会 …

本日は歯周病の進行により、下顎の前歯を抜かなければならなくなった患者様についてです 抜歯となった際の治療方法についてですが、多くの場合にはインプラントが第一選択となることが多いですしかしながら場合によっては、インプラントが最善ではなく接着ブリッジという治療方法が望ましいと判断することもあります 接着ブリッジとは、隣接する歯を削らない・あるいは最表層のみを削合 …

本日は、マウスピース矯正を行い反対咬合(上下の歯の前後関係が反対になっている状態)が改善している患者様に関して報告させていただきます 患者様は20代で、受け口を主訴としてご来院されました骨格的な改善も行うのであれば外科矯正という選択肢もご提示させていただきましたが、お話の結果、歯列矯正で改善を行うことといたしました マウスピース矯正による治療経過になります反 …

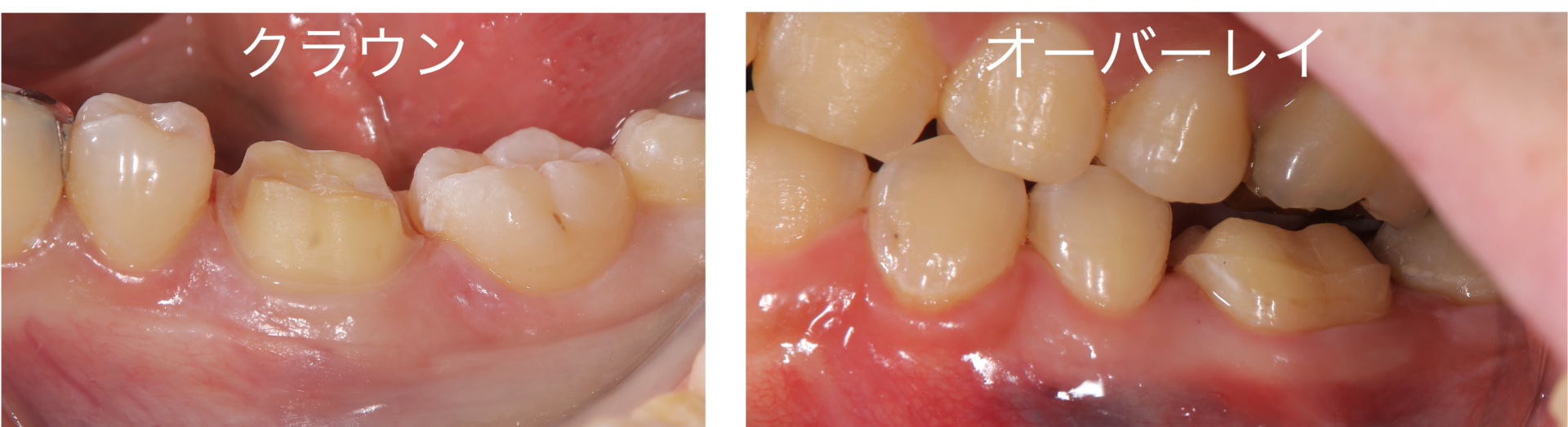
本日は、虫歯治療や根の治療が終わった後の治療の選択肢をお話させていただきます 従来から存在する治療の選択肢(被せもの、クラウン) 虫歯が大きい歯や、神経をとって根の治療が終わった後に、「被せ物(クラウン)で治療をしましょう。」と歯医者さんに言われた経験はございませんでしょうか? 被せ物(クラウン)は、従来より用いられてきた治療方法ではありますが、被せ物(クラ …

本日は、マウスピース矯正により非抜歯でガタつき(叢生)を改善している症例を報告させていただきます 患者様は20代の女性で、歯並びがガタついていることを理由にご来院されました 患者様のお話の通り下顎の前歯にガタつきが大きく、一部の歯は前から見えないほどになっていました 患者様にできるだけ抜歯を避けたいとのご希望がございましたため、今回は抜歯を伴わないマウスピー …

本日は前歯部の反対咬合の患者様に対して、マウスピース矯正(部分矯正)にて治療を行った症例について報告させていただきます 治療経過になりますマウスピース矯正・非抜歯・部分矯正にて治療を行いました 初診時の状態では、向かって右側の前歯が上下の前後関係が反対になっていましたこちらの患者様は以前に他院にて矯正治療を行った経緯がございましたが、後戻りが生じてしまったと …

本日は、マウスピース矯正により前歯が咬み合っていない(前歯部開咬)の患者様の治療例を紹介させていただきます 症例の概要 患者様は20代の女性で、口元の突出感を主訴として来院されました上下の歯並びは各々で見ると大きく問題はございませんでしたが、上下の前歯が大きく咬み合っていないという問題がございました また口元も患者様の主訴にある通り、若干の突出傾向を認めまし …
〒661-0981 兵庫県尼崎市猪名寺2丁目6-1
猪名寺ニュープラザ1F