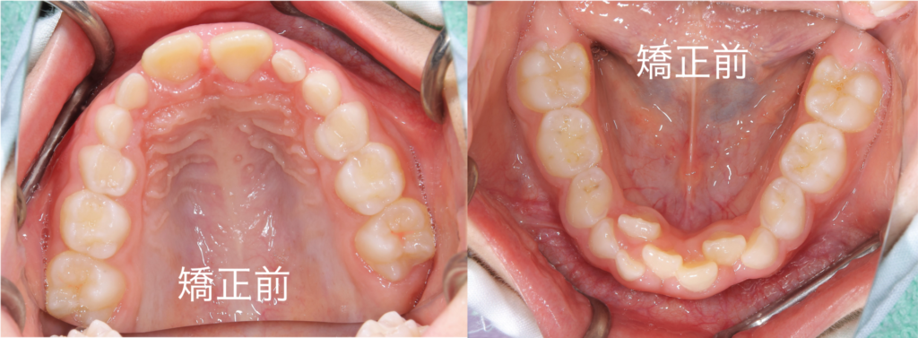
本日は、歯並びがガタついている8歳の患者様の治療経過を報告させていただきます

写真のように、特に下顎の前歯にガタつきが生じていました
これから下顎の成長がありますが現状のガタつきは中程度以上と判断し、自然な成長では改善しない可能性が高いことを説明させていただいたところ、患者様は矯正治療(1期治療)を行い改善していかれることを希望されました

現状の評価と致しましては、下顎のアーチが狭く歯が並ぶスペースが少ないため、前歯がガタついていると判断いたしました
そのため、下顎の成長を補助し歯列(アーチ)を拡大していくこととしました

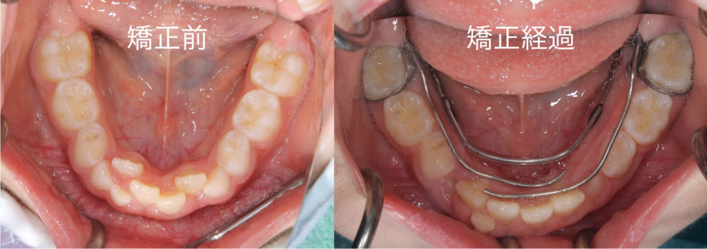
今回は患者様の希望もあり、上顎にはクワドヘリックス、下顎にはバイヘリックスという固定式の装置を用いて治療を行っていきました

治療の経過ですが、アーチが広がり歯が整列してきていることが認められます

当院では、小児矯正(1期治療)も積極的に行っております
また、患者様の状況や希望に応じて装置選択を致しております
矯正治療へのご相談やお困りごとがございましたら、ぜひ当院までご連絡ください


