本日はワイヤー矯正を用いた、全体的な治療を行っている患者様についてです
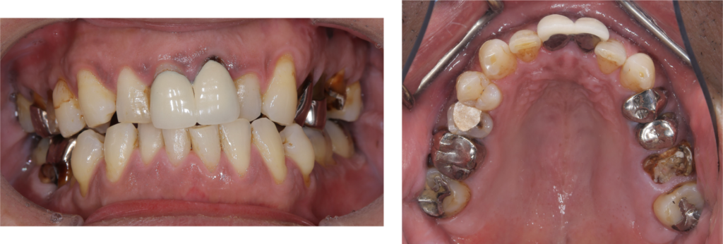
患者様は50代の男性です、全体的な治療を希望されてご来院されました

前歯の咬み合わせが反対になっている、抜歯しなければならない歯があるなど多くの問題点がございました。
このまま進むとさらなる歯の欠損が予想され、美味しく食事もできなくなる可能性もご説明させていただきました。
患者様はこの機会にしっかりとした治療を行い、残っている歯をこれ以上失わないようにするために全体的な治療を行っていくことといたしました。

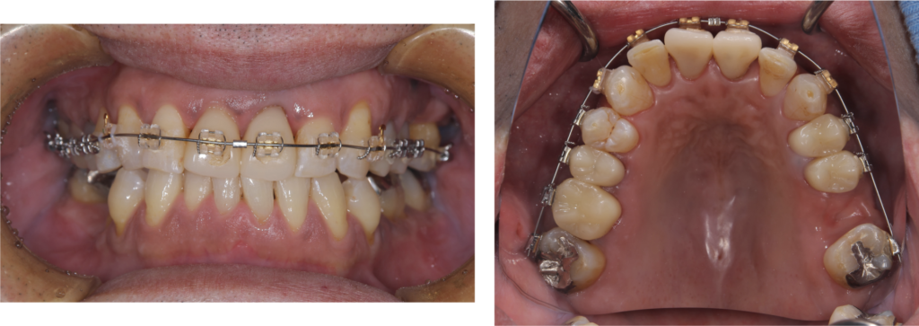
ワイヤー矯正により咬み合わせを整えている経過にはなりますが、前歯の反対になっている部分も改善し順調に進んでおります

まだ治療途中ですが、明らかに咬み合わせも良くなってきております。
当院では、50歳以降でも多くの患者様が矯正治療を含めた全体的な治療を行っていただいております。
80歳、90歳になっても美味しく食事ができるように、今のうちからしっかりと治療を行うのはいかがでしょうか?


