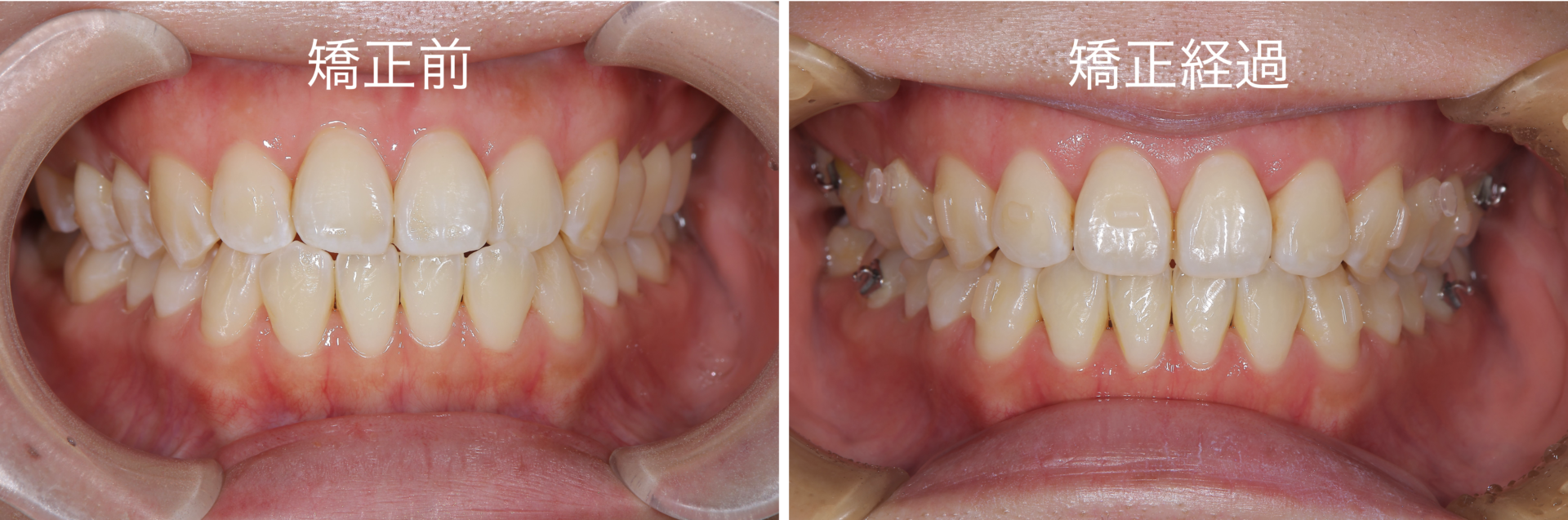
本日は、マウスピース矯正により非抜歯でガタつき(叢生)を改善している症例を報告させていただきます

患者様は20代の女性で、歯並びがガタついていることを理由にご来院されました

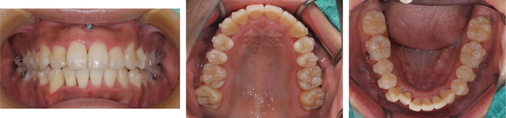
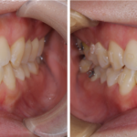
患者様のお話の通り下顎の前歯にガタつきが大きく、一部の歯は前から見えないほどになっていました
患者様にできるだけ抜歯を避けたいとのご希望がございましたため、今回は抜歯を伴わないマウスピース矯正で矯正治療を行っていくこととしました


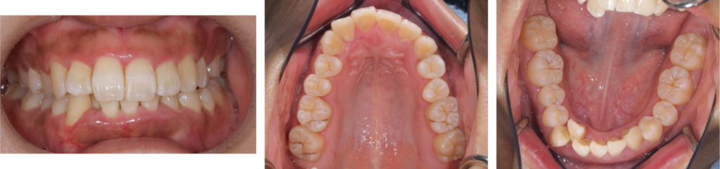
治療途中にはなりますが大分歯並びも整い、全ての前歯がしっかりと見えるようになってきました
1年ほどでここまで改善することができ、患者様にも大変喜んでいただけています

治療経過の比較になります
大分歯並びが改善してきていることがわかっていただけるかと思います
当院では、さまざまな状態の患者様の矯正治療を行っております
矯正治療に関するご相談をお持ちの患者様はぜひ当院までご連絡ください、無料での相談も承っております





