本日は前歯部の反対咬合の患者様に対して、マウスピース矯正(部分矯正)にて治療を行った症例について報告させていただきます

治療経過になります
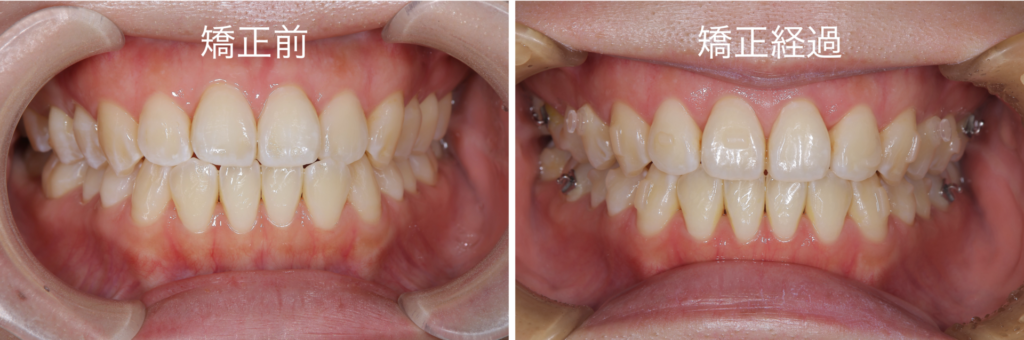
マウスピース矯正・非抜歯・部分矯正にて治療を行いました

初診時の状態では、向かって右側の前歯が上下の前後関係が反対になっていました
こちらの患者様は以前に他院にて矯正治療を行った経緯がございましたが、後戻りが生じてしまったとのことでした
この上下の前後関係を改善されることを希望されて来院されました
また、上下の真ん中が揃っていないことも同時に改善することを目標として治療を行いました

マウスピースによる矯正治療を行なった結果、向かって右側の前歯の前後関係の改善と上下の真ん中を揃えることを達成することができました
当院では他院にて矯正治療を行った後に、後戻りが生じてしまった患者様にも対応いたしております
矯正治療にご興味をお持ちの患者様は、ぜひ当院までご相談ください
無料にて相談も受け付けさせていただいております





