本日は、虫歯治療や根の治療が終わった後の治療の選択肢をお話させていただきます
従来から存在する治療の選択肢(被せもの、クラウン)
虫歯が大きい歯や、神経をとって根の治療が終わった後に、「被せ物(クラウン)で治療をしましょう。」と歯医者さんに言われた経験はございませんでしょうか?
被せ物(クラウン)は、従来より用いられてきた治療方法ではありますが、被せ物(クラウン)が外れないようにするために機械的嵌合、物理的な維持力が用いられています
つまりご自身の歯の健康な部分を削ることにより、被せ物(クラウン)が外れないようにしています
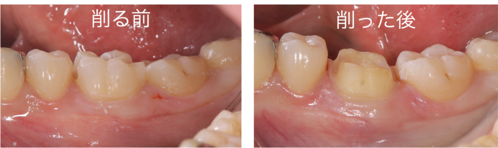
実際に被せ物(クラウン)を装着した方の、歯の削り方も見てみましょう

左の写真は虫歯をとった後であり、歯の大部分が健全な状態です。しかしながら、外れない被せ物(クラウン)を作製する際には、右の写真のように削ってしまう必要があります
正直、このように歯の健康な部分を削ってしまうのはもったいなくないでしょうか・・・
オーバーレイという新たな選択肢
被せ物(クラウン)は物理的な力で外れないようにしている。とお話ししましたが、材料の進化により化学的な力により被せ物が外れないようにすることができるようになってきました
その方法が新たな選択肢、オーバレイという治療方法です
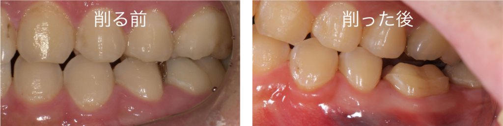
このオーバーレイという治療方法を行う際の、歯の削り方を見てみましょう

このように歯の上部の部分は削ることになりますが、根元に近い部分は削ることなく治療を終えることができます
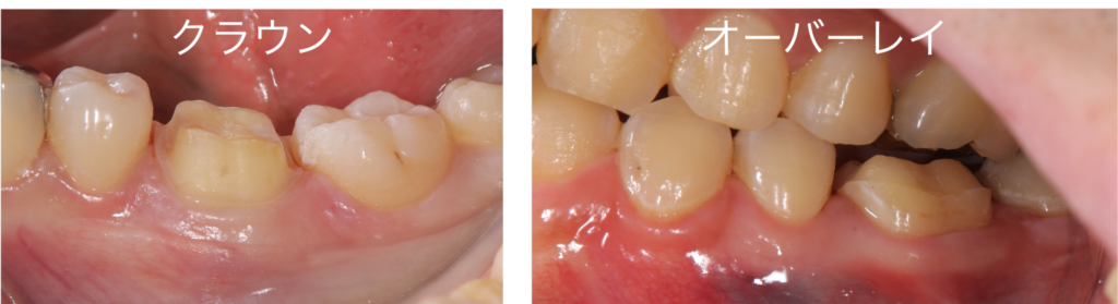
クラウンとオーバーレイの削る量の比較

このようにクラウンとオーバーレイの削る量を比較してみると、明らかにオーバーレイの削る量が少ないことがわかります
オーバーレイの削る量は、クラウンの削る量の50%とも言われています
歯は削れば削るほど、脆くなり、割れてしまうリスクが上がったり、最終的には抜歯になってしまうのが早くなっていってしまいます
ご自身の歯は、削る量を少なくするのに越したことはないと思います
(すでにクラウンが装着されている場合などは、オーバーレイを適用することはできません)
当院では、できる限り歯を削らない選択肢を患者様に提案させていただいています
被せ物(クラウン)を提案され、歯を削る量をできる限り少なくしたいという希望をお持ちの患者様は、ぜひ当院までご相談ください





