本日は歯周病の進行により、下顎の前歯を抜かなければならなくなった患者様についてです
抜歯となった際の治療方法についてですが、多くの場合にはインプラントが第一選択となることが多いです
しかしながら場合によっては、インプラントが最善ではなく接着ブリッジという治療方法が望ましいと判断することもあります
接着ブリッジとは、隣接する歯を削らない・あるいは最表層のみを削合し接着技術に頼りブリッジを装着する治療方法です
接着ブリッジのメリットとしては
・インプラント治療と同様に、隣接する歯を切削することなく治療を行うことができる(最小限で切削することもあります)
・治療期間がインプラント治療より短い
・治療費用がインプラント治療より安価
・インプラント治療より外科的な侵襲が少ない
上記のような多数のメリットが存在します
デメリットとしては
・隣接する歯と連結されているためにフロスなどの清掃器具が使用できない
・無理な力がかかると脱離することがある
・適用できる症例に制限がある
それでは、接着ブリッジを用いた治療例です

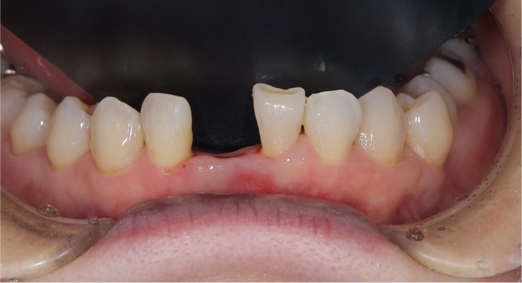
今回の患者様は右下の前歯(向かって真ん中左の歯)が歯周病が進行してしまい抜歯と判断いたしました

抜歯を行うだけだと歯茎の退縮が生じてしまうため、歯茎が退縮しないように考慮しながら抜歯を行いました
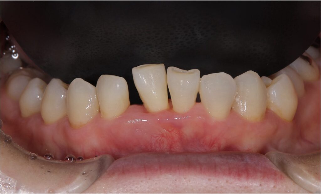
この状態から、歯の欠損部に接着ブリッジを作製していきました

作製した接着ブリッジになります。ダミーの歯と隣接する歯に接着するリテーナーというものから構成されています

装着時の写真となりますが、接着ブリッジを長期に口腔内で維持させるためには厳格なルールに基づく接着処置が必要となります
当院では、最善を尽くすためにラバーダム(写真水色にシート)を用いることにより唾液などを排除して高い接着レベルを目指しています

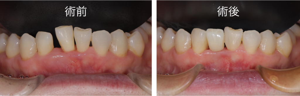
治療の前後の比較写真です
残念ながら抜歯となってしまった歯ですが、隣接する歯を削ることなく審美的に治療を終えることができました
また治療期間につきましても、インプラント治療と比較して大きく短縮することもできました
当院では、患者様に応じて最善の治療方法を提案するようにいたしております
何かお口のことで困り事が、ございましたらぜひ当院までご相談くださいませ





