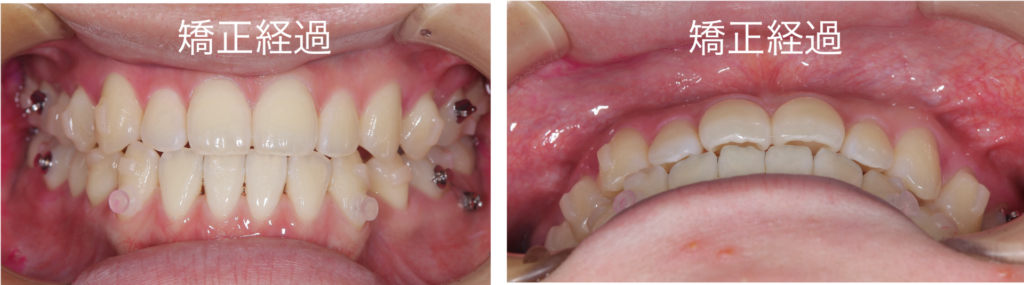
本日は、マウスピース矯正を行い反対咬合(上下の歯の前後関係が反対になっている状態)が改善している患者様に関して報告させていただきます

患者様は20代で、受け口を主訴としてご来院されました
骨格的な改善も行うのであれば外科矯正という選択肢もご提示させていただきましたが、お話の結果、歯列矯正で改善を行うことといたしました

マウスピース矯正による治療経過になります
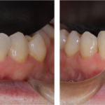
反対咬合は改善され、正常な咬み合わせに改善することができました

今回、患者様は非常にしっかりとマウスピースを着用していただけたため、12か月という短期間でここまで改善することができました

また受け口傾向であった横顔も、かなり改善することができました
当院では、さまざまな状態の患者様の矯正治療を行っております
矯正治療に関するご相談をお持ちの患者様はぜひ当院までご連絡ください、無料での相談も承っております




